The Architecture of Healthy Skin — and What Happens to It Over Time

The Architecture of Healthy Skin — and What Happens to It Over Time

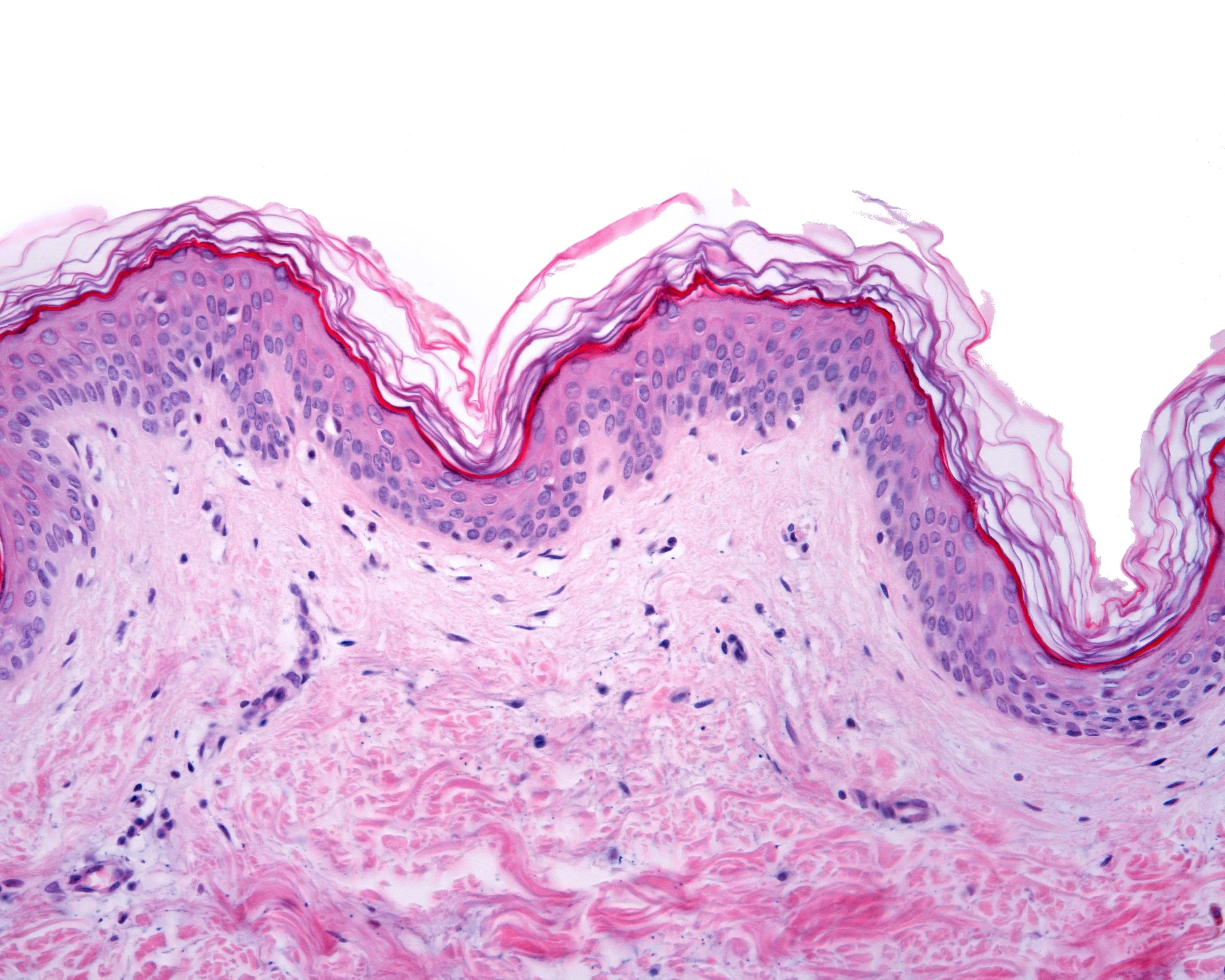
Skin is the body's largest organ, and its complexity is frequently underestimated. What appears from the outside as a simple surface is, at a microscopic level, an extraordinarily organised biological system. Understanding that architecture is the starting point for understanding why it ages the way it does — and why those changes matter clinically.

Read More